
熊猫趣闻
成都旅美大熊猫“伦伦”怀孕啦——宝宝或将于本月诞生
从美国亚特兰大动物园7月1日(美国时间)新闻发布会获悉:超声波和激素检查均表明,今年15岁的成都旅美大熊猫“伦伦”已成功怀孕,小宝宝或将于本月诞生,这将是2013年在美国出生的第一只大熊猫宝宝,也是美国亚特兰大动物园和成都大熊猫繁育研究基地开展大熊猫繁育合作计划以来出生的第四只大熊猫。

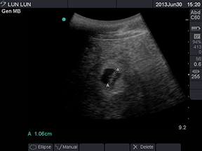
超声波检查

旅美大熊猫“伦伦”和“洋洋”
今年3月,“伦伦”进入了发情高潮期,美国史密桑林保护生物所的大熊猫繁殖生理学专家Copper Aitken-Palmer博士为“伦伦”做了人工授精。6月30日,美国亚特兰大动物园专家通过超声波检查了“伦伦”腹中胎儿的大小,长度为1.08厘米。兽医部和动物管理部专家根据“伦伦”2010年生第三胎“阿宝”时的类似超声波检查数据推测,这只小宝宝估计将于两周至三周后出生。
与此同时,“伦伦”也于近日开始出现大幅度减少进食,嗜睡及活动量减少等行为。而这些行为也正是怀孕或假孕大熊猫产前应有的正常征兆。美国健康科学西部大学的大熊猫内分泌专家Dave Kersey博士为“伦伦”做了激素检查,并将继续监测“伦伦”的情况。
“‘伦伦’有可能会生第四个宝宝,对此我们非常激动。但我们也对此保持审慎乐观的态度。大熊猫幼仔非常脆弱,也有可能发生一些意外。”院长Raymond B. King说。“大熊猫幼仔出生标志着我们大熊猫保护项目的又一个成绩,在此,我们也要与美国其他有大熊猫的动物园以及成都大熊猫繁育研究基地的同行们共享这个好消息。 ”
“伦伦”和“洋洋”之前共生了三个孩子,分别是“美兰”,6岁,雄性,现居成都大熊猫繁育研究基地;“喜兰”,4岁,雄性;“阿宝”,2岁,雄性。这三只熊猫宝宝均为人工授精所产,且都是美国当年唯一出生的大熊猫。
新闻链接:
大熊猫“伦伦”于 1997 年 8 月 25 日出生在成都大熊猫繁育研究基地,是大熊猫“冰冰”的第 2 个女儿。 1999 年 11 月 5 日,刚满 2 岁的“伦伦”和与它同岁的雄性大熊猫“洋洋”一同飞赴美国亚特兰大动物园,开始了为期 10 年的旅美生活,成都大熊猫繁育研究基地与美国亚特兰大动物园开展的大熊猫长期国际繁育合作计划也由此拉开了序幕。2004 年和 2005 年,进入性成熟期的“伦伦”接受了人工授精但没有产仔。
2006年春季,基地特派大熊猫繁育专家侯蓉前往美国亚特兰大动物园,与美国专家一起对大熊猫采取了一系列改进的繁殖措施。当年 3 月,“伦伦”表现出了发情行为,但遗憾的是“伦伦”与“洋洋”的自然交配没有成功,基地专家在美国当地时间 3 月 29 日 23 : 00 和 3 月 30 日 7 : 45 利用通过人工采精所采集到的“洋洋”的精液对“伦伦”实施了人工授精。在经历 158 天的怀孕期后,“伦伦”与“洋洋”的第 1 只爱情结晶终于诞生了。北京时间 2006 年 9 月 7 日早上 4 : 51,9 岁龄的中国旅美大熊猫“伦伦”在经历 36 小时的阵痛后于美国亚特兰大动物园顺利产下了一只体重为 113 克幼仔。这是成都大熊猫繁育研究基地自 1999 年与美国亚特兰大动物园开展为期十年的“国际合作繁殖计划”以来,首次成功产下大熊猫幼仔,同时,“伦伦”从破羊水到产下幼仔的整个产仔过程长达 36 小时,创造了大熊猫生产界新的世界记录,在国际、国内引起了广泛关注。后经全球征名,这只大熊猫幼仔被取名为“美兰”。2010年2月5日,“美兰”和华盛顿国家动物园出生的四岁半雄性大熊猫“泰山”同乘波音777——“联邦熊猫快递号”专机回到了家乡成都,在成都大熊猫繁育研究基地开始了新的生活,并成为了“地球一小时”公益活动全球推广大使。
2008年8月31日,已经11岁的大熊猫“伦伦”又成功产下了一只可爱的大熊猫宝宝——“喜兰”,2010年11月3日,13岁 “伦伦”又顺利产下了一只大熊猫宝宝——“阿宝”。



















川公网安备51010802031927号
